Dr CROMBECQUE Laurent
Chirurgien-dentiste à Valenciennes
Dr CROMBECQUE Laurent
Chirurgien-dentiste à Valenciennes

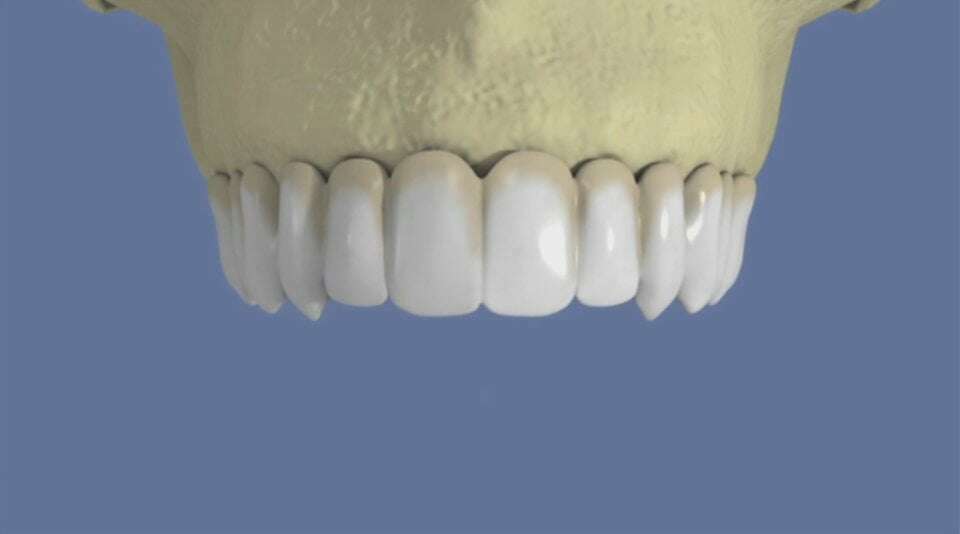
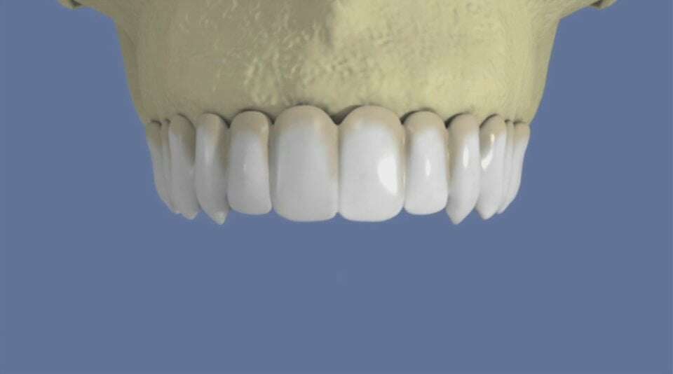
Maxillaire : bridge vissé sans fausse gencive


video-play-icon

Articles similaires

Catégories

Création par Webdentiste

Connexion