Les dents et leur parodonte (gencive et os) peuvent être les portes d’entrée d’infections bactériennes pouvant entraîner des pathologies graves.
Fiches conseils - Page 7
Différents traitements permettent la régénération de l’os et l’amélioration de l’esthétique de la gencive.
Les freins de la langue ou de la gencive sont des éléments en tissu fibreux situés sous la langue ou reliant la lèvre supérieure à la gencive.
Pour garder une bouche saine, il faut adopter une alimentation équilibrée. Et surtout, éviter les grignotages entre les repas.
Les vitamines sont essentielles à notre santé buccale, en complément des minéraux tels que le calcium, le fluor, le phosphore.
Les personnes atteintes de diabète ont un risque accru de développer les premiers stades de
la maladie parodontale. Quelles sont les précautions à prendre ?
Les lambeaux d’assainissement sont un traitement chirurgical permettant de traiter une parodontite (déchaussement des dents).
Les patients qui souffrent d’une parodontite remarquent souvent qu’un de leurs parents a eu, lui aussi, des problèmes parodontaux.
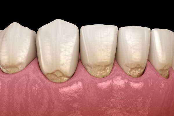
Les maladies parodontales touchent les tissus de soutien des dents (gencive, os, ligament). Comment s'installent-elles et comment y remédier ?
La mylolyse ou lésion cervicale d’usure se définit comme une perte de matière dentaire se localisant au collet de la dent.
Un kyste dentaire se présente en général sous la forme d’une masse arrondie ou ovale située à la racine de la dent.
L’endodontie s’attache à la prévention, au diagnostic et au traitement des maladies de la pulpe dentaire.
Catégories
- Fiches conseils (129)
- Vidéos 3D (52)











